| Our Dental Services Include: |
Pediatric Dentistry (starting at 6 months)
 |
Children begin to get their baby teeth during the first 6 months. By age 6 or 8 years, they start to lose their first set of teeth, which eventually are replaced by secondary teeth. Without proper dental care, children face possible oral decay and disease that can cause a lifetime of complications. As pediatric dentists, we offers a wide range of treatment options, as well as expertise and training to care for your child's teeth. |
Preventive Care
 |
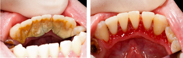
Preventive dentistry is the practice of caring for one's teeth to keep them healthy. This helps to avoid cavities, gum disease, and more. The solution is treating and preventing bad breath, tooth decay, and disease by having regular preventive care visits – at least once a year.
Our preventive care services offer you an affordable, gentle, and convenient program for maintaining a healthy smile that lasts a lifetime. Contact us for more information about preventive care program. |
Cosmetic Services
 |
Cosmetic dentistry is a becoming an area of growing interest for many consumers. From subtle changes to major repairs, we can perform a variety of procedures to improve your smile. We can treat teeth that are discolored, cracked, misshapen or missing. We can reshape your teeth, close spaces, worn or short teeth. Common procedures include bleaching, bonding, crowns, veneers and reshaping and contouring. Contact us for more information about our cosmetic services that best fits you. |
Tooth-Colored Fillings
 |
A filling helps prevent decay of teeth. Materials used for fillings include gold, porcelain, composite resin (tooth-colored fillings), or an amalgam (an alloy of mercury, silver, copper, and tin).
Which type of filling is best of me?
No one type of filling is best for everyone. By making an appointment, we can determined repairs and costs for this procedure. Contact us for more information about our tooth-colored fillings that best fits you. |
Cosmetic Veneers
 |
Porcelain veneers, sometimes called porcelain veneers or porcelain laminates, are small pieces of porcelain used to recreate the natural look of teeth, while also providing durability and resilience comparable to natural tooth enamel. It is often the material of choice for patients looking to make slight alterations, or to change tooth shape, size, or color.
Resin veneers are thinner and require removal of less of the tooth surface before placement. We will need to discuss the best choice of veneer material for you upon your next appointment. Call today! |
Implants
 |
Dental implants are metal posts or frames that are surgically positioned into the jawbone. Once in place, they allow us to fit replacement teeth onto them.
Because implants fuse to your jawbone, they provide stable support for artificial teeth. For some people, ordinary bridges and dentures are simply not comfortable or possible, due to sore spots. This secure fit helps the dentures and bridges — as well as individual crowns placed over implants — they feel more natural than conventional bridges or dentures. Well find the best solution for your dental needs, so make an appointment today. |
Tooth Whitening
 |
Want a brighter smile? When it comes to tooth-whitening, we have the best solution. We peroxide-based bleaching agents which contain from 15% to 43% peroxide. With our whitening treatment, the whiter your teeth become than ordinary treatments. With our careful doctors and staff we'll be sure you have the best smile ever. Get started today. |
Crowns & Bridges
 |
When teeth are heavily decayed, they may be weak to survive a filling. By placing a crown, a tooth may be given a new life. And when a single tooth is lost a denture may not be required as a bridge could be made which spans the gap with a tooth attached to those next to the space. Sometimes when a single small tooth is lost at the front of the mouth a simple bridge can be made which has side supports that are glued to the back of the adjacent teeth. This results in less tooth being damaged by the drill. To find out more about this procedure, contact us. |
Treatment of gum and bone diseases
 |
Gum disease, or gingivitis, is inflammation of the tissues surrounding and supporting the teeth and is most commonly a result of poor dental hygiene. Gingivitis is a very serious condition . Red, swollen gums that bleed easily when teeth are brushed or flossed is a sign of gum disease. Gingivitis is not the same thing as periodontitis, although sometimes a person may be affected by both. While gingivitis is inflammation of the gums around the teeth, periodontal disease occurs when the bone below the gums gets inflamed or infected. If you believe you have this problem, Get treated for for this as soon as you can. Contact our offices. |
Dentures & Partials
 |
A denture is a replacement for missing teeth and tissues. Complete dentures replace all the teeth, while a partial denture fills in the spaces created by missing teeth and prevents other teeth from changing position. Candidates for complete dentures have lost most or all of their teeth. A denture improves chewing ability and speech, and provides support for facial muscles. It will greatly enhance the facial appearance and smile. To see how we can help you get started with your new dentures, make an appointment today! |
Root canal therapy
 |
Removing the pulp is called endodontic treatment, but it is often referred to as root canal therapy. The pulp is found in the center of the tooth and in canals (called root canals) inside the root of each tooth. Pulp nourishes the tooth when it first emerges through the gum. Root canal treatments are quite common in the United States, they save about 24 million teeth each year. Consult one of your dentists to know your options. |
Extractions, including wisdom teeth
 |
Tooth extraction is the removal of a tooth from its socket in the bone. If a tooth has been broken or damaged by decay, we will try to fix it with a filling, crown or other treatment. There may also bee too much damage for the tooth to be repaired. Before removing your tooth, we will give you a local anesthetic to numb the area where the tooth will be removed. A stronger, general anesthetic may be used. General anesthetic prevents pain in the whole body and will make you sleep through the procedure. Are you feeling tooth aches and increasing pain? Contact our offices to set an appointment with one of our dentists. |
Nitrous & Oral Sedation
 |
"Laughing gas" is a mild sedative. By inhaling a combination of nitrous oxide and oxygen you can achieve a pleasant sensation. Patients often listen to relaxing music with this method to help keep their mind and body relaxed through certain dental services. Patients who use nitrous oxide gas for their sedation dentistry remain aware of their surroundings at all times throughout the procedure. However, the mild sedative helps relax nerves and calm anxieties. |
Mouth guards
 |
Mouth guards are coverings worn over teeth, or often used to protect teeth from injury from teeth grinding and during sports. There are three types of mouth guards: Stock mouth protectors, Boil and bite mouth protectors and Custom-fitted mouth protectors. Consult one of our dentists if you're considering this option for you or your family. Call today. |
|
| We accept many methods of payment for your dental work needs. We accept full or partial payment by: |
>Most dental insurance
>Cash
>Check
>Care Credit |
>Debit Cards
>Credit Cards 
>Flexible Financing Options
|
|
|